How the Lower Nervous System can Lay One Low
Discovering the body's fainting switch
In early 2023, I became deeply curious about the lower nervous system. This research article appeared later that year, and I quickly realized that “advanced neuroscience” (neuroscience harnessing recent advances from the US BRAIN Initiative and the like around the world) was ready to give us deep insights. Mapping the lower nervous system may not have been the dream of most BRAIN pioneers, but it may prove to be one of their greatest legacies.
This article revealed two specific neural pathways associated with one form of fainting, vasovagal syncope, also known as the Bezold-Jarisch Reflex. First described in the 19th-century, this form of fainting has a characteristic set of three observable signs: reduced heart rate (bradycardia), reduced blood pressure (hypotension), and a backwards eye roll moments before physical collapse.
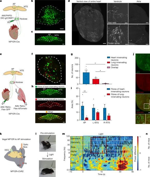
The first neural pathway runs along the vagus nerve from the heart to the lowest region (medulla) of the brain and was shown in mice, via optogenetics technology, to reliably trigger the full Bezold-Jarisch Reflex along with additional physiological signs, such as reduced cerebral blood flow. In this case, “pinpointing” a neural pathway meant three specific things: 1) beginning at a specific subregion of the heart, the ventricular walls, 2) molecularly-identified neurons within the vagus nerve, namely those expressing neuropeptide Y receptor Y2, aka NPY2R, and 3) ending at a specific subregion of the medulla known as area postrema.
Snippet of Figure 1 from Vagal sensory neurons mediate the Bezold–Jarisch reflex and induce syncope | Nature, licensed under CC-BY. Conveys the level of spatial, molecular, and temporal specificity the authors achieved within the vagus nerve.
This is the level of specificity we can now expect from today’s neuroscience. The authors went further to establish this neural pathway as both necessary and sufficient for vasovagal syncope, i.e., this appears to be the pathway for vasovagal syncope. Several approaches were used to reach this strong level of evidence, such as targeted ablation. Finally, they went on to distinguish the discovered pathway from a neighboring one involved in sleep-wake regulation. Fainting and sleeping may both involve “laying low” but we know they are distinct physiologically. Now this can be pinpointed to specific neural wires!
The second new neural pathway identified determined how long the animal was laid low. It turns out this “post-syncope” has a neural timer on the upper end (hypothalamus) of the lower brain. Again it was pinpointed to a specific sub-region, the periventricular zone, and with mechanistic/causal precision: how long the animal was both physically laid low/slow and cognitively impaired could be modulated (made either better or worse) with particular (activating or inactivating) chemogenetic stimulation of this region, all without affecting the other physiological signs of syncope.
Snippet of Extended Data Figure 9 from Vagal sensory neurons mediate the Bezold–Jarisch reflex and induce syncope | Nature, licensed under CC-BY. Shows the ability to modulate the apparent syncope duration, via manipulation in the hypothalamus.
While I’ve never experienced vasovagal syncope per se, my own recumbent episodes come to an end (I call it “rebooting”) at a certain unpredictable point, and also (sometimes) with a slowness that persists after I’ve arisen. Perhaps this mechanism is in play, or another like it.
This research was remarkable not only for its findings but also for being a technical tour de force leveraging several advanced neuroscience technologies: optogenetics, chemogenetics, single-cell RNA sequencing, tissue-cleared microscopy, Neuropixels probes, small-animal EEG, and quantitative behavioral analysis.
For me, this work was instantly a watershed moment. It was also encouraging that at least one physician, Dr. Robert Wilson at the Cleveland Clinic, started to connect the dots between these findings and the recent rise of dysautonomia cases secondary to Covid, as profiled in just three worthwhile minutes on National Public Radio (NPR).
These are exactly the kinds of bridges that we at Ansyme aspire to build. We believe that clever 21st-century detective work is what’s needed to beat chronic illness and other medical mysteries. To borrow the phrase of a famous fictional 19th-century detective, this research article was the moment I knew “the game is afoot”.
This article was originally published on the Ansyme website on February 23, 2025



